How To Know If Testicular Cancer Has Spread To Lungs - Royal Marsden Hospital Staging Of Testicular Cancer Download Table / Stage iii (stage 3 testicular cancer):
Get link
Facebook
X
Pinterest
Email
Other Apps
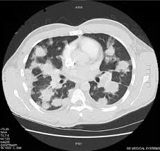
How To Know If Testicular Cancer Has Spread To Lungs - Royal Marsden Hospital Staging Of Testicular Cancer Download Table / Stage iii (stage 3 testicular cancer):. The tumour has only spread to the abdominal lymph nodes or the lungs or both. Testicular cancer begins in your testes, the male reproductive organ. If cancer cells have spread to your lymph nodes (or beyond your lymph nodes to another part of the body), symptoms may include: Shortness of breath, chest pain, or a cough (even coughing up blood) may develop from cancer spread in the lungs. At least one tumour marker level is moderately high.
Swelling of 1 or both legs or shortness of breath from a blood clot can be symptoms of testicular cancer. The tumour has only spread to the abdominal lymph nodes or the lungs or both. This is how doctors can tell that it is cancer that has spread from another part of the body. The tumour has spread to organs other than. The primary tumour is in the area between the lungs.
Treatment For Stage 4 Testicular Cancer Onco Com from onco.com This is testicular cancer which has spread to the lungs. So when testicular cancer spreads to the lung (or any other place), it's still called testicular cancer. A blood clot in a large vein is called deep venous thrombosis or dvt. As with other forms of cancer, testicular cancer can spread, or metastasize, to other areas of the body. In the later stages of development, testicular cancer can even spread to the lungs, brain or liver. Additional areas where testicular cancer may metastasize include the: I know that sounds obvious but it is an important distinction. Testicular cancer that has spread to other parts of the body may reveal itself in a number of ways.
If testicular cancer has spread to other parts of your body, you may also experience other symptoms.
His cancer had spread to his lungs, stomach and brain. Swelling of 1 or both legs or shortness of breath from a blood clot can be symptoms of testicular cancer. But most of the time they're on the edges of your lungs or in the lower lobes. If testicular cancer spreads, it can spread to the following: Liver is pretty close to the lungs. If it has spread to the lungs you may have a cough or feel breathless. Metastatic cancer has the same name as the primary cancer. As with other forms of cancer, testicular cancer can spread, or metastasize, to other areas of the body. The m in the tnm system describes whether the cancer has spread to other parts of the body, called distant metastasis. Once the cancer has spread to the liver, the prognosis and survival rate from the disease can drop significantly. The primary tumour is in the area between the lungs. It's not called lung cancer unless it starts from cells in the lung. The nature (cell type) of the metastatic.
It's not called lung cancer unless it starts from cells in the lung. Lymph nodes are glands that make up your immune system. Shortness of breath, chronic cough or chest pain can turn out to be the symptoms of testicular cancer that have affected the lungs. These are some reasons of why the metastasis of lung cancer to the liver is quite common. Lump or swelling in your neck, under your arm, or in your groin.
Testicular Cancer Department Of Urology from www.med.unc.edu Metastatic cancer has the same name as the primary cancer. Testicular cancer is highly treatable, even when cancer has spread beyond the testicle. A blood clot in an artery in the lung is called a pulmonary embolism and causes shortness of breath. Additional areas where testicular cancer may metastasize include the: Headaches or confusion, from cancer spread in the brain. Swelling and enlargement of male breasts. Stage iii (stage 3 testicular cancer): But most of the time they're on the edges of your lungs or in the lower lobes.
Tumor marker protein levels are normal or slightly elevated.
How do you know if testicular cancer has spread? The tumour has spread to organs other than. When the disease has reached stage 2, the cancer will have spread into the patient's lymph system (the retroperitoneal lymph nodes are usually he first to be affected) and may spread to the kidneys. The most common place for testicular cancer to spread to is nearby lymph nodes in your tummy (abdomen) or lungs. It may have spread to the lungs or lymph nodes, but has not spread to anywhere else in your body. Testicular cancer that has spread to other parts of the body may reveal itself in a number of ways. It rarely spreads to other organs in the body. If the cancer has spread to the lungs sometimes testicular cancer spreads to the lungs. Certain types of testicular cancer are more likely to spread than others. When testicular cancer spreads, it most commonly spreads to the lung and the lymph nodes of the chest, pelvis, and the base of the neck. A blood clot in an artery in the lung is called a pulmonary embolism and causes shortness of breath. Additional areas where testicular cancer may metastasize include the: The primary tumour is in the area between the lungs.
The nature (cell type) of the metastatic. Lymph nodes are glands that make up your immune system. Stage iii (stage 3 testicular cancer): Lance armstrong was diagnosed with stage 3 testicular cancer in 1996. His cancer had spread to his lungs, stomach and brain.
Testicular Cancer Has 3 Main Faraja Cancer Support Trust Facebook from lookaside.fbsbx.com Belly pain, either from enlarged lymph nodes or because the cancer has spread to the liver. As others have said this is a type of cancer which does not behave in the same way as most. Metastatic cancer has the same name as the primary cancer. Which treatment your doctor will choose to treat it is based on the type of cancer you have and if it has spread. More advanced stages may have spread to the liver and bones. His cancer had spread to his lungs, stomach and brain. Good prognosis means that your primary cancer was in your testicle, or at the back of your stomach or abdomen (retroperitoneal). I know that sounds obvious but it is an important distinction.
Headaches or confusion, from cancer spread in the brain.
Which treatment your doctor will choose to treat it is based on the type of cancer you have and if it has spread. It's not called lung cancer unless it starts from cells in the lung. There is no poor prognosis grouping for seminoma testicular cancer. Testicular cancers at this stage have spread to distant lymph nodes or organs. A blood clot in an artery in the lung is called a pulmonary embolism and causes shortness of breath. This is how doctors can tell that it is cancer that has spread from another part of the body. And you might have one tumor in one lung or many tumors in both lungs. So when testicular cancer spreads to the lung (or any other place), it's still called testicular cancer. The tumour has only spread to the abdominal lymph nodes or the lungs or both. These are some reasons of why the metastasis of lung cancer to the liver is quite common. I know that sounds obvious but it is an important distinction. With proper treatment, even more advanced stage 3 testicular cancer can be cured. Lymph nodes are glands that make up your immune system.
What Does Bone Cancer In The Mouth Look Like / Oral Cancer Signs Symptoms And Complications / Each tumor looks like it's the original site of disease on the scans, suggesting that the bone tumors developed independently, at the same time, at multiple sites. . It may be numb or firm to feel and doesn't fade away over time. A canker sore looks like an ulcer, usually with a depression in the center. If the cancer develops in the legs, as it does in most cases, the usual course of treatment is amputation. Although many jaw growths are benign, they can still do plenty of harm. In some cases, doctors will notice a tumor around that particular area of the bone. Cancer of the palate usually is noticed first as an ulcer in the mouth. In the early stages, mouth cancer rarely causes any pain. As you review these images and their descriptions, you. Surgery is often the treatment of choice for dog mouth cancer, but it may not lead to a cure because the tumor often has al...
17.02.2019 · berbagai data terkait contoh input proses output dalam sistem informasi manajemen. Ketika mengirimkan surat penagihan, maka anda harus melampirkan invoice dan … Baja ban dan bagian bagian lain adalah contoh input dari lingkungan kedalam sebuah pabrik perakitan mobil. 27.11.2020 · konsep ini menitik beratkan pada kualitas modal kerja dalam konsep ini pengertian modal kerja adalah kelebihan aktiva lancar terhadap hutang jangka waktu pendek (net working capital), yaitu jumlah aktiva lancar yang berasal dari pinjaman jangka panjang maupun dari para pemilik perusahaan. Konsep surat penagihan, dengan mencantumkan tanggal pemesanan barang, batas waktu pembayaran yang sudah disepakati, jumlah tagihan, dan nomor invoice, lampirkan invoice pembayaran yang belum dilunasi pada surat tersebut, dan surat siap dikirimkan kepada pelanggan. Contoh Surat Penagihan / Tagihan Utang, Piut...
Make Your Own Playing Cards Uk / Create Your Own Bicycle Playing Cards Jumbo Index | Zazzle / Chris wasshuber has researched how to make your own playing cards and is able to supply blank sheets of playing card cardboard in small batches, corner rounders and card cutters at affordable prices. . We are ivory, makers of playing cards based in cambridgeshire, uk we specialise in customising top quality card decks from 1 pack upwards. Kayak canoe paddle design playing cards. Create your playing cards from scratch in a computer program. You can also add the matte coating option in this step. Tarot cards are used during spiritual readings and are there to help sculpt your future or destiny. Start by choosing the material and whether you want your cards printed on one or both sides; Make your own coat of arms silver horse shield playing cards. Make your own business cards online with the wunderlabel online configurator you can make your own business cards in just a few easy...
Comments
Post a Comment